알림
뒤로
알림 설정
뒤로
더보기
게시물 알림
내 글 반응
내가 작성한 게시물이나 댓글에 다른 사람이 댓글이나 답글을 작성하면 알려줍니다.
공지사항
사이트에서 보내는 중요한 공지를 실시간으로 알려줍니다.
Alarm
마이페이지
로그아웃
로그인이 필요합니다.
로그인
교정 치료
척추측만증
휜다리 (Q-angle)
일자목/거북목
골반불균형
자세불균형
통증 치료
경추부 통증
어깨 통증
팔꿈치 통증
허리 통증
골반/고관절 통증
무릎 통증
특화 치료
킬레이션 치료 (혈관청소)
갱년기 치료
SOB (스페셜 비만 치료)
Mamafit (산후 관리)
수액 치료
면역 치료
고압산소 치료
광양자 치료
프리미엄 치료
강남세란소개
병원/의료진 소개
강남세란의 치료
강남세란의 특별함
오시는 길/진료 안내
비급여 진료
실비 보험
후기/전후사진
전후사진
자필후기
영상후기
상담/예약
온라인 상담
카카오 상담
온라인 예약
VIP상담전용
닫기
강남세란의원
교정 치료
척추측만증
휜다리 (Q-angle)
일자목/거북목
골반불균형
자세불균형
통증 치료
경추부 통증
어깨 통증
팔꿈치 통증
허리 통증
골반/고관절 통증
무릎 통증
특화 치료
킬레이션 치료 (혈관청소)
갱년기 치료
SOB (스페셜 비만 치료)
Mamafit (산후 관리)
수액 치료
면역 치료
고압산소 치료
광양자 치료
프리미엄 치료
강남세란소개
병원/의료진 소개
강남세란의 치료
강남세란의 특별함
오시는 길/진료 안내
비급여 진료
실비 보험
후기/전후사진
전후사진
자필후기
영상후기
상담/예약
온라인 상담
카카오 상담
온라인 예약
VIP상담전용
한국어
English
中文 (简体)
LOGIN
/
JOIN
/
site search
MENU
강남세란의원
한국어
English
中文 (简体)
site search
교정 치료
통증 치료
특화 치료
프리미엄 치료
강남세란소개
후기/전후사진
상담/예약
VIP상담전용
전후사진
자필후기
영상후기
전후사진
환자분들의 전후사진입니다. 개인 별 결과 상이합니다.
전체
#휜다리
#측만증
#일자목
#골반교정
#바른자세 체형 교정
#팻킬/각선미
전체
#휜다리
#측만증
#일자목
#골반교정
#바른자세 체형 교정
#팻킬/각선미
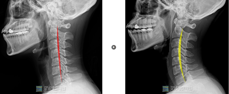
#일자목
일자목 교정전 ▶ 일자목 30회(3개월) 치료 후
전후사진
일자목 교정 전 ▶ 일자목 30회(3개월) 치료 후
일자목 교정 전 ▶ 일자목 30회(3개월) 치료 후
목록
1577-7537
빠른 상담 신청